非骨化性纤维瘤是瘤不是癌

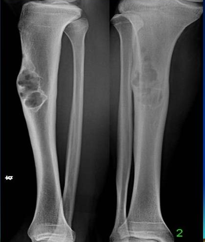
近日,手外•足踝•显微外科来了一位特殊病人,一个7岁小男孩,在玩轮滑时不小心扭伤脚踝,致使踝关节肿胀、压痛,拍片发现胫骨骨质异常,被告知可能是肿瘤,要求住院进一步确诊。家属一听是“肿瘤”,吓得赶紧给孩子办理了住院手续进一步治疗。

入院后,值班医生查体,根据门诊检查,初步诊断为:胫骨下段骨肿瘤。谈瘤色变,孩子还这么小,这等于给孩子的未来判了死刑,孩子爸爸听完伤心欲绝。值班医生和护士长极力安慰孩子爸爸,同时尽快安排做进一步检查,请儿科专家会诊。

科室主任余化龙、副主任医师刘亚东积极组织管床医生及科室医生结合检查结果进行讨论,最终诊断为:非骨化性纤维瘤。

那么什么是非骨化性纤维瘤呢?是癌吗?

非骨化性纤维瘤(non-ossifying fibroma, NOF)是一种少见的纤维组织肿瘤。这种肿瘤过去曾被认为是瘤样病损,即干骺端纤维性骨皮质缺损,1942年Jaffe和Lichtenstein认为它是一种真性肿瘤,1958年Jaffe正式命名为非骨化性纤维瘤。目前多认为是良性纤维组织细胞性肿瘤。

是良性肿瘤不是癌啊,原来虚惊一场!明确了诊断,孩子爸爸心里那块石头总算放下了。

那么为什么会得这种病?好治吗?

非骨化性纤维瘤是来源于纤维组织的肿瘤,发病率不高,占肿瘤总数的0.81%,占良性肿瘤的1.45%,男女之比为1.38:1,好发于儿童和青少年,年龄多在11~20岁(29.6%),容易发病的人群主要集中在儿童以及青少年,容易发病的部位是下肢长管状骨,或者是胫骨、股骨以及腓骨。一般很少出现症状,有时在病理性骨折后才发现,主要表现为局部轻微疼痛、压痛、病理骨折,儿童、青少年出现膝踝或髋关节疼痛,该疾病发展缓慢,x射线检测可以发现。

该瘤可自行消退,对x线能明确诊断,而病灶又不超过患骨横径的1/2,不会发生病理性骨折者,可不急于手术,注意其自然愈合情况。

小型者无需治疗,较大而有症状者可行刮除植骨术,若病变很大,且位于次要骨端(如腓骨上端,尺骨下端),可采用整段切除术。

本瘤可自行消退,未引起病理性骨折,医生建议孩子可以出院回家观察。

明确了诊断,也知道了孩子可以自行愈合,爸爸这颗悬着的心总算放下了,医生和护士交待了一些注意事项,爸爸和孩子心怀感谢高高兴兴地回家了。


非骨化性纤维是可以预防的。

首先,维持理想的体重;

其次,正确饮食,摄入多种食物,不能挑食,饮食要定时、定量,少食多餐,宜清淡,多食含维生素A、C、E的绿色蔬菜和水果,忌辛辣刺激,如姜、蒜、韭菜、花椒、辣椒等。摄取更多的高纤维食物(如全谷麦片,豆类,蔬菜,水果);减少脂肪总摄入量;避免高脂肪、高蛋白质、高热量饮食。限制酒精类饮料的摄取,限制腌制、熏制及含亚硝酸盐类食品的摄入。

最后,要多运动。

                                         (手足踝显微外科   余翠)