想不到吧,腱索也分三六九等哦

                                                                     

 ba51e1bbb88269cb570422f3c24c9cd77f9b8f6d0895741e6b498335e8e0612d129a62276b380ad0

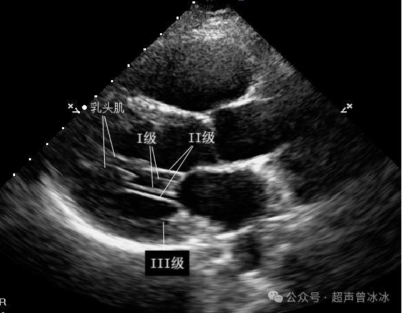
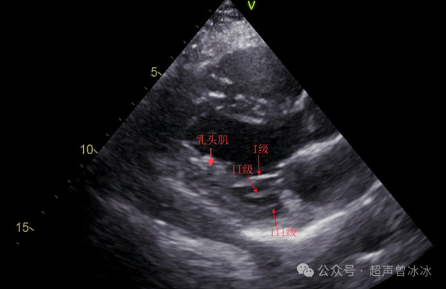
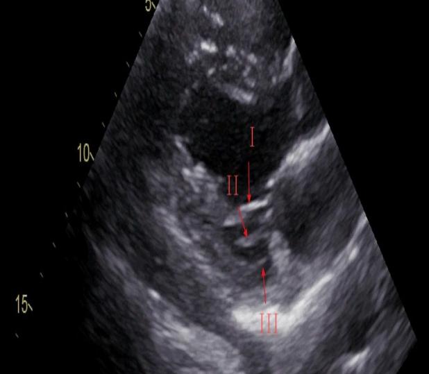
 我们都知道,左室腔内的腱索一头连着乳头肌,一头连着二尖瓣。

一般认为与二尖瓣前叶相连的腱索有9根,后叶有14根,不过也不一定就是这个数,反正就是腱索是有很多根的。那么这些腱索的地位是不是都是一样的呢?

非也。

虽然腱索不至于像后宫那样等级森严。

但按其部位和功能也确实分为三等:

 I级腱索:起自乳头肌,远端附着于瓣叶边缘,主要防止瓣叶边缘外翻。

 II级腱索:起自乳头肌,附着于瓣叶中部,加强对瓣叶的牵拉作用。

 III级腱索:发自左室壁,附着于瓣叶基底部,固定瓣膜位置的作用,只位于后叶。

b26842f4143d7985c6b695f77e24cbeb58b93418

对应到超声图像就是↓

 2379d9bb5cb76627c2bfa05e449e24dc3f9fd0cdb70bf77f97d7b58eed1f3ea0a5628596df3061a4

其中,I、II级腱索是腱索的核心成员,断了、冗长了容易引起二尖瓣关闭不全、脱垂甚至连枷。

III型腱索既细又短,切断III型腱索不影响瓣膜的功能。

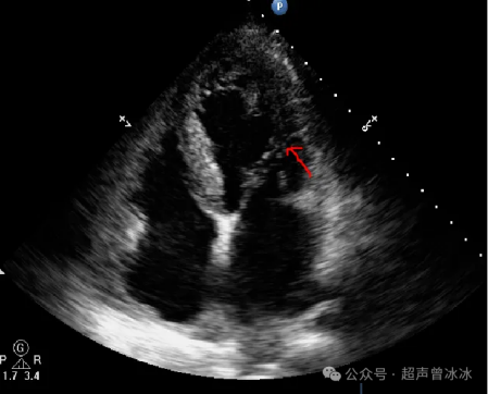
另外,我们需要注意的是--------有的小伙伴认为各回各家,各找各妈,前外侧乳头肌发出的腱索就支持二尖瓣前叶,后内侧乳头肌发出的腱索就支持二尖瓣后叶。

这种观点是错误的。

正确的应该是:

前外侧乳头肌发出的腱索支持二尖瓣前外侧联合、前叶和后叶的前外侧部位。后内侧乳头肌发出的腱索支持二尖瓣后内侧联合、前叶和后叶的后内侧部位。

绕晕了吧?直接看图就明了了:

11fce4dc97527ef84ce2b3775d0f605b0b3b4a95

 

简单说来就是老吾老以及人之老,幼吾幼以及人之幼。前外侧乳头肌发出的腱索不仅管前叶,还管后叶,还管它们的交界区。同理后内侧乳头肌。反过来说,二尖瓣前叶和后叶发出的腱索是可以连到同一个乳头肌上的。

837b4fb97a65500fa426a200975b022e6d31eeff

千万不要误认为是降落伞样二尖瓣(只有一个乳头肌,前后叶的腱索都连在这一个乳头肌上)

怎么鉴别?

打个乳头肌短轴切面看看就知道啦-----一组乳头肌就是降落伞,两组就是正常的。

  ca194d034404ee2af7fbcfc0d7bddb8d72004ab5edcc19942d364058989d66ac8eeb7d5d595ef2b2