挑战生命禁区,他们做到了

原发性脑干出血

指的是排除了外伤、血管畸形、肿瘤等

可溯源继发性因素的自发性脑干出血

多数伴发高血压病

在国内常称为高血压性脑干出血

是高血压脑出血的最致命亚型

一旦出血

九死一生

近日,家住丹江口的李先生突感头部疼痛并伴有头晕症状,卧床休息后头部疼痛不仅没有得到缓解,反而逐渐丧失意识。家属呼之不应、叫之不醒,瞬间慌了神,遂紧急将李先生送往当地医院进行抢救。

经过数小时紧急抢救后,患者情况仍无好转,医生无奈地对家属说:“脑干出血,九死一生,我们已经尽力了,但结果……国药东风总医院神经外科专家团队有着丰富的脑干出血救治经验,去试一试或许还能抓住一线生机!”

在当地医院的协助下,患者家属与国药东风总医院神经外科负责人吴善武取得了联系。

“脑干出血5ml就可能致死,从当地医院传来的影像结果来看,患者的出血量预计远大于5ml,危险系数极高。救,则有一线生机;不救,就只能等死。”即便面临着巨大的风险和压力,吴善武还是决定将患者收住入院,与死神搏上一搏。

11月5号晚9点患者入院后,神经外科主治医师洪纯第一时间对其进行了相关检查的完善,此时患者神志昏迷,查体完全不能配合,瞳孔大小不一,生理反射消失。检查结果提示,受颅内压力增高的影响,患者已经出现了脑疝的迹象,如不及时处理,则会导致一些永久性的神经损害,甚至直接造成患者死亡。

当晚10点,与患者家属充分沟通并取得同意后,神经外科手术团队对患者的情况进行了深入探讨和综合研判,并制定了详细而周密的手术计划。

人脑的重量约为1.3公斤,体积在1.4立方分米左右,其中大脑、小脑占据了绝大部分,脑干在人脑中只占极微小的一部分。

7850fccd5c1cbb24d82ffab4e721d2f4.png

虽然在体积上并不起眼,但这小小的脑干却是人体的“生命中枢”。脑干如同一座桥,连接着大脑根部与脊髓,其功能主要是维持个体生命,包括心跳、呼吸、消化、体温、睡眠等重要生理功能。

由于脑干具有“生命中枢”的重要地位,其自身却又相当脆弱,所以脑干出血的相关手术对医生的专业技能要求极高,稍有不慎,满盘皆输。

晚10点30分,完善术前准备后,有着数百例“立体定向颅内血肿穿刺”手术经验的吴善武首先对患者进行了“立体定向脑干出血软通道穿刺血肿清除术”,在精准定位的前提下对血肿部位进行穿刺,术中抽吸血肿约15ml,依据国际神经外科医生集团的分级标准,该患者的脑干出血程度达到最高级Ⅳ级以上,死亡率接近100%。f0816ef96b00022d49972525c81b383d.pngf0816ef96b00022d49972525c81b383d.png156386727049079221251294612.png

8a53627925cd528bbdbedcb6748dc5de.png

随后,洪纯对患者行“双侧脑室外引流术”,对前期脑干出血继发的脑积液进行引流,并对外引流管进行固定,以避免继发脑积水对患者生命产生威胁。

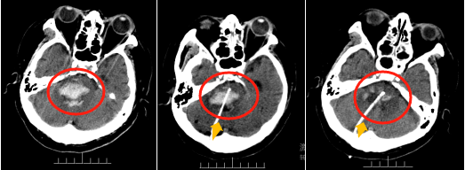
fb0b1f55b1496c2c8830935d82ed5a90.png


(上图分别为术前、术中及术后头部CT,其中红色区域为血肿区域,黄色箭头标记引流管。)

术后第二天,患者奇迹般地睁开了双眼,手术的成功意味着神经外科手术团队从死神手中抢回了一条性命。目前,患者生命体征基本稳定,已转回当地医院进行后续治疗。

专家提醒

吴善武提醒大家:“切莫把高血压不当回事,案例中的李先生正是由于有高血压病史,却没有引起足够的重视,服药依从性差,吃药断断续续才突发了脑干出血的凶险情况,脑干出血的情况一旦出现,患者九死一生,生还几率渺茫。因此,在规律生活、健康饮食的基础上,有高血压病史的群体应定期体检,合理控制自己的血压、血糖、血脂情况,预防脑出血的发生。”