肺孢子菌肺炎的诊治与预防
什么是肺孢子菌肺炎
肺孢子菌肺炎(pneumocystis pneumonia,PCP)是由耶氏肺孢子菌引起的一种机会性感染,常见于免疫功能障碍人群。在没有普遍预防的情况下,肾移植术后PCP的发病率约为5%~15%。如发病早期得不到及时有效治疗,其死亡率可高达90%。而作为引起PCP的病原体,耶氏肺孢子菌是一种自然界广泛存在的原始真菌,既往曾被称为卡氏肺孢子虫。
肺孢子菌肺炎的由来
1909年,巴西医生Chagas首先在豚鼠的肺中发现了肺孢子菌,但将它误认为是一种克氏锥虫。1910年,巴西微生物学家Carinii也在大鼠肺中发现了肺孢子菌,但他将样本寄到了法国巴黎的巴斯德研究所进行鉴定。1912年,巴斯德研究所的Delanoe夫妇将这种微生物鉴定为一种新的原虫,命名卡氏肺孢子虫(pneumocystis carinii)。1952年,捷克寄生虫学家Jiroveci发现,卡氏肺孢子虫是引起营养不良儿童“间质性肺炎”的病原体。而随着分子生物学技术的不断进步,1988年,DNA分析发现卡氏肺孢子虫是一种真菌而不是原虫,因此更名为卡氏肺孢子菌。随后进一步发现,感染人和大鼠的肺孢子菌在DNA水平上存在差异,因此2001年,感染人类的被命名为耶氏肺孢子菌(pneumocystis jirovecii),感染大鼠的则被称为卡氏肺孢子菌。
肺孢子菌肺炎的易感人群
①早产儿或营养不良的婴幼儿;
②先天性免疫缺陷;
③获得性免疫缺陷:包括艾滋病、白血病、淋巴瘤和其他恶性肿瘤、结缔组织病或器官移植而大量使用激素、细胞毒药物和放疗,均可引起免疫抑制。
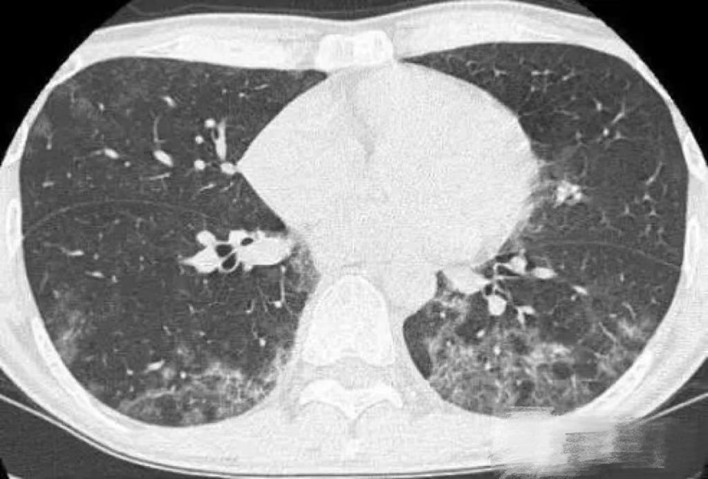
肺孢子菌肺炎的临床表现及检查
常见的临床表现为干咳、发热、气促、发绀、呼吸困难,若并发AIDS,患者多为亚急性起病,呼吸困难逐渐加重,严重者会发生呼吸窘迫。本病症状严重,但肺部体征少,多数患者肺部听诊无异常,部分患者可闻及散在湿啰音。患者的CT检查可显示双肺毛玻璃样改变,血气分析示低氧血症,严重者动脉血氧分压明显降低,常在60mmHg以下。患者一旦出现上述症状,应立即到医院就诊。目前病原学检测是PCP诊断的最准确标准。而通过对痰液、支气管肺泡灌洗液的染色镜检和PCR检测则是诊断PCP的主要方法。近年来,宏基因组二代测序技术(metagenomic next-generation sequencing,mNGS)在PCP的诊断中显示出了快速、准确的特点,也可作为诊断方法之一。此外,血清1, 3-β-D-葡聚糖、乳酸脱氢酶检测等也可作为PCP诊断的辅助指标。而高分辨胸部CT则是PCP影像学诊断方法。肺炎早期、进展期及转归期的CT表现不同,最后可发展为弥漫性间质性肺病。
肺孢子菌肺炎的治疗
由于PCP的死亡率极高,因此及时启动治疗至关重要,可通过静脉或口服给药。当因肾功能受损而限制磺胺药物足量使用时,可联合使用棘白菌素类抗真菌药物。如患者磺胺药物过敏,还可以选择喷他脒、阿托伐醌、伯氨喹、克林霉素等二线治疗药物。
上一篇: 青少年肾脏隐性杀手——饮料
下一篇: 重症患者康复——肺康复技术