湖北省323攻坚行动之肺癌早筛、早诊、早治

什么是癌?

  • 如果把身体看成一个社会,那么细胞就是这个社会中一个个鲜活的“人”

  • 有人的地方,就有好人,也有坏人

  • 而细胞,每一次分裂,都可能诞生一个坏人


图片2.png

肺癌,以前被称作原发性支气管肺癌,是起源于呼吸上皮细胞(支气管、细支气管和肺泡)的恶性肿瘤,是全球最主要的恶性肿瘤死亡原因,男性肺癌发病率在所有癌症中占首位,女性发病率仅次于乳腺癌占第二位,全球范围内女性肺癌死亡率呈上升趋势,75%肺癌患者在就诊时已经是疾病晚期,5年生存期只有15.6%。

图片3.png图片4.png


一、肺癌的症状有哪些?

(一)局部症状

局部症状是指由肿瘤本身在局部生长时刺激、阻塞、浸润和压迫组织所引起的症状,包括:咳嗽、痰中带血或咯血、胸痛、声音嘶哑、骨痛或骨折等。

图片5.png

1.咳嗽

咳嗽是最常见的症状,以咳嗽为首发症状者占35%~75%。肺癌所致的咳嗽可能与支气管黏液分泌的改变、阻塞性肺炎、胸膜侵犯、肺不张及其他胸内合并症有关。肿瘤生长于管径较大、对外来刺激较敏感的段以上支气管黏膜时,可产生类似异物样刺激引起的咳嗽,典型的表现为阵发性刺激性干咳,一般止咳药常不易控制。肿瘤生长在段以下较细小支气管黏膜时,咳嗽多不明显,甚至无咳嗽。对于吸烟或患慢支气管炎的病人,如咳嗽程度加重,次数变频,咳嗽性质改变如呈高音调金属音时,尤其在老年人,要高度警惕肺癌的可能性。

2.胸痛

以胸痛为首发症状者约占25%。常表现为胸部不规则的隐痛或钝痛。大多数情况下,周围型肺癌侵犯壁层胸膜或胸壁,可引起尖锐而断续的胸膜性疼痛,若继续发展,则演变为恒定的钻痛。难以定位的轻度的胸部不适有时与中央型肺癌侵犯纵隔或累及血管、支气管周围神经有关,而恶性胸腔积液患者有25%诉胸部钝痛。持续尖锐剧烈、不易为药物所控制的胸痛,则常提示已有广泛的胸膜或胸壁侵犯。肩部或胸背部持续性疼痛提示肺叶内侧近纵隔部位有肿瘤外侵可能。

3.痰中带血或咯血

痰中带血或咯血亦是肺癌的常见症状,以此为首发症状者约占30%。由于肿瘤组织血供丰富,质地脆,剧咳时血管破裂而致出血,咳血亦可能由肿瘤局部坏死或血管炎引起。肺癌咳血的特征为间断性或持续性、反复少量的痰中带血丝,或少量咯血,偶因较大血管破裂、大的空洞形成或肿瘤破溃入支气管与肺血管而导致难以控制的大咯血。痰中带血或咯血如果发生在40岁以上的人群,千万不要以为是“嗓子咳破了”、“牙齿出血了”,这个时候你所认为的“小题”需要“大做”!

4.胸闷、气急

约有10%的患者以此为首发症状,多见于中央型肺癌,特别是肺功能较差的病人,胸闷气喘为表现的肺癌患者也会有咳嗽咳痰表现。引起呼吸困难的原因主要包括:①肺癌晚期,纵隔淋巴结广泛转移,压迫气管、隆突或主支气管时,可出现气急,甚至窒息症状。②大量胸腔积液时压迫肺组织并使纵隔严重移位,或有心包积液时,也可出现胸闷、气急、呼吸困难,但抽液后症状可缓解。③弥漫性细支气管肺泡癌和支气管播散性腺癌,使呼吸面积减少,气体弥散功能障碍,导致严重的通气/血流比值失调,引起呼吸困难逐渐加重,常伴有发绀。④其他:包括阻塞性肺炎。肺不张、淋巴管炎性肺癌、肿瘤微栓塞、上气道阻塞、自发性气胸以及合并慢性肺疾病如COPD。

(二)全身症状

图片6.png


1.发热

以此首发症状者占20%~30%。肺癌所致的发热原因有两种。多见的是炎性发热,中央型肺癌肿瘤生长时,常先阻塞段或支气管开口,引起相应的肺叶或肺段阻塞性肺炎或不张而出现发热,周围型肺癌多在晚期因肿瘤压迫邻近肺组织引起炎症时而发热,但多在38℃左右,很少超过39℃,抗生素治疗可能奏效,阴影可能吸收,但也正是这样,会把肺癌真实的面貌掩盖掉。但因分泌物引流不畅,常反复发作,约1/3的患者可在短时间内反复在同一部位发生肺炎。有些发热是因为肿瘤快速生长,局部血液又无法供应,肿瘤组织没有足够的营养,癌细胞部分坏死引起的发热,或肿瘤坏死因子释放,或癌细胞产生的内源性致热源引起的发热,这些因为肿瘤本身引起的发热被叫做癌性发热,往往是低度发热,持续可达数周。所以持续的低热,如果没有其它原因可以解释往往也是肿瘤的信号,这类发热激素类或吲哚类药物有一定疗效。

2.消瘦和恶病质

短期内消瘦明显,体重明显下降,这也是恶性肿瘤的重要特征,这是因为癌细胞会和正常细胞抢夺营养物质,癌细胞扩增速度很快,需要的营养越来越多,正常细胞的营养供给就少了。当这种掠夺发展到一定的程度,就会出现极度消瘦,皮包骨头,形如骷髅,贫血,无力,完全卧床,生活不能自理,极度痛苦,全身衰竭,这个时候我们医学上有个名词叫“恶病质”。肺癌晚期由于感染、疼痛所致食欲减退,肿瘤生长和毒素引起消耗增加,以及体内TNF、Leptin等细胞因子水平增高,可引起严重的消瘦、贫血、恶病质。

  • 总有患者说:平时身体好好的,凭什么这病突然就找到我了呢??

  • 那是因为肺癌早期往往是没有症状的,咳嗽、痰中带血、胸痛、气喘胸闷、恶病质这些信号往往意味着病情进展到一定的阶段。大家往往都是出现身体的不适了才来就诊,这也是“多数肺癌患者就诊时已为晚期”的原因所在!那大家可能慌了神:我怎么知道什么时候开始去医院找医生?

  • 别着急,除了那些肿瘤引发的不适,还有其他的信号提示你需要警惕肺癌,因为肺癌的形成总是有一些原因的

二、肺癌形成的原因有哪些?

图片7.png

  • 最常见的是吸烟,吸烟是肺癌形成最主要的原因,有人说“饭后一根烟,快活似神仙”,真实的情况是进食后人体的血液循环加快,吸烟更有助于尼古丁、焦油这些有害物质被肺和全身组织吸收

  • 有些人群患癌率总是高一些,比如城市高于农村,比如长期从事粉尘、化工作业的人群高于普通人群,那是因为肺癌还与环境污染、职业接触有关

  • 有些家庭父母患癌,子女患癌,有些人患了这个癌,过了几年又患其他癌,这是因为肺癌的发生与遗传有关、与基因有关

  • 有研究表明慢性肺病与肺癌也有关系,比如慢阻肺、尘肺病、结核等等,有时候是合并存在的,主要是肺癌的发病环节同这些疾病都有关系,比如吸烟既容易引发慢阻肺,也容易引发肺癌

  • 最新的研究肺癌还与烹饪有关(这似乎为女性肺癌发病率增高提供了更多的佐证),与蔬菜瓜果摄入不足有关,还与运动量不够有关

三、该怎样预防肺癌?

图片8.png

对于肺癌的预防,主要是基于病因进行的:

  • 戒烟,远离二手烟,明显降低肺癌的发生率,且戒烟越早肺癌发病率降低越明显,所以戒烟被称为预防肺癌的最有效的途径

  • 已有的研究证明:大气污染、沉降指数、烟雾指数、苯并芘等暴露剂量与肺癌的发生率成正相关关系,保护环境、减少大气污染是降低肺癌发病率的重要措施

  • 多职业致癌物增加肺癌发病率已经得到公认,减少职业致癌物的暴露就能降低肺癌发病率

  • 日常生活中,我们需要科学饮食,蔬菜、水果等可以预防肺癌。如胡萝卜、黄豆、大蒜、西兰花、苦瓜、枸杞等

四、如何及时发现肺癌?

     对肺癌患者的识别实际上就是对肺癌高危人群的筛查,具体来说尤其是40岁以上,有长期或大量吸烟经历的人群;从事包含致癌因素的工作;有肿瘤家族史的人群,或其他系统肿瘤史的人群出现以下这些情况的时候需要高度怀疑肺癌:

  • 无明显诱因的刺激性咳嗽持续2-3周,治疗无效

  • 反复痰中带血,无其它原因可解释

  • 反复发作的同一部位的肺炎

  • 原因不明的肺脓肿,抗炎效果不显著

  • 原因不明的背痛、四肢关节疼痛及杵状指(趾)、骨折

  • 胸片有段、叶肺不张,单侧肺门阴影增大

  • 原稳定肺结核病灶形态和性质发生变化

    这个识别方案适用于临床医生,也适合老百姓自我评价!

    最常用最有效的肺癌筛查方法是肺部CT,CT用于肺癌筛查的时候,常常会发现肺部小的异常,称为结节或者阴影,尤其是在吸烟者或之前的吸烟者中。大多数CT扫描上看到的肺部结节或阴影都不是癌症,但极少数结节或阴影可能是肺癌的早期阶段,所以需要随访,随访的意思是过一段时间再做一个CT扫描来看结节是否随时间增长,CT的随访间隔时间取决于医生的医嘱,什么时候需要其他手段干预,也取决于医生对结节、阴影性质的判断。

五、筛查后如何确诊肺癌?

    根据据筛查及对筛查随访跟进发现的新的结果和你的一些症状,如果医生认为你可能患有肺癌,他或她会给你做进一步的检查和化验来确认。、

1、病史和体格检查:医生会询问你的病史,了解你有的症状如咳嗽,发热、胸痛等。了解、你是否有肿瘤的家族史和其他风险。医生会跟你进行体格检查。如果你的病史和体格检查的结果显示你可能会有肺癌,你将接受更多的检查。

2、痰细胞学:这个检查,把你从肺部咳出的粘液样本(痰)放在显微镜下进行观察看看是否有癌细胞。最好的方式晨起咳痰,连续进行3天的检查。

图片10.png

3、CT扫描:CT扫描使用X射线来“拍摄”你身体的详细横断面图像。不像常规的X射线只拍摄一张照片,CT扫描仪在你躺在检查床上围绕你转的时候拍下很多影像。然后计算机会把需要检测病变的身体部位的影像资料转换为一张张的切片照片。比起常规胸部X射线,CT扫描更可能显示肺部肿瘤。同时也能显示任何肺部肿瘤的大小,形状和位置,帮助查找增大了的淋巴结,这些淋巴结可能含有从肺部转移来的肺癌细胞。

图片11.png

4、病理活检

图片13.png

如果CT扫描结节或肿块显示有可疑的恶性特性,那么医生将会进行采用以下三种方法对肿瘤进行取样去看看是否有癌细胞(病理诊断),这称为活检。活检包括:

图片14.png图片15.png图片16.png


  • 支气管镜检查:医生把一根长而细的纤维导管通过你的鼻腔经过喉咙到达肺部的气管结节附近。支气管镜尾端有一个细小的空针可用于穿刺结节并取得样本或者经支气管镜直接钳取。

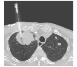
  • 穿刺活检:如果结节在肺的外部,医生可能会把一个细针沿着胸壁的皮肤插进结节中取得活检样本。

  • 外科切除活检:如果结节是癌症的可能性更高(结节无法做针刺活检或经支气管镜活检),可能需要外科手术来切除结节和周围的一些肺组织(有时也会切除整个肺叶),进行病理的诊断。

六、国药东风总医院呼吸二病区应对肺癌措施有哪些?

图片17.png


筛查和随访的结节、阴影,一旦被门诊医生认为需要进一步确认,很有可能需要住院诊治:

  • 累及气管-支气管壁的可疑肿瘤病变可以通过支气管镜直视下活检获取标本,以便于肿瘤确诊

  • 肺内0.8cm以上的结节、阴影可通过支气管镜用活检钳/针刺破小支气管壁进行活检

  • 低度恶性类癌、息肉可通过支气管镜下切除,达到治愈的目的

  • 不能手术的气管中上段早期肿瘤可以通过镜下切除、冷冻,同时配合肿瘤化疗、放疗等手段进行治疗

  • 晚期的肿瘤引起气道梗阻,造成病人呼吸困难,难以进行肿瘤的相关治疗时,通过气管镜下手术可以有效的开放气道,为肿瘤的后续治疗提供机会

  • 食管癌或纵隔恶性肿瘤引起的气管-支气管相关瘘可以通过支气管镜进行支架植入,封堵瘘口

七、国药东风总医院呼吸与危重症医学科二病区肺癌诊治团队

图片18.png

图片19.png


针对肺癌,需要我们全社会共同提高认识,努力改善环境,创造无烟社会,切实落实“早发现、早诊断、早治疗”的原则,希望大家都有一个健康美满的人生!

 

国药东风总医院呼吸内科肺癌咨询诊治电话:0719-8272357,8272330;8272581

门诊咨询专家:

石   明主任医师(周一下午专家门诊、周二周四普通门诊);张玉杰主治医师

杨中卫主任医师(周三上午、周五上午专家门诊);        杨秀菊副主任医师

呼吸与危重症医学科二病区

(部分图片、素材来源于网络,版权归原作者)