染色体检查,你做了么

前段时间在公众号上看到这样一篇文章,具体如下:

C:\Users\ADMINI~1\AppData\Local\Temp\1628500458(1).png

一般人看了这样的字眼不仅有个疑问,XX是什么,他说明了什么。且听我一一道来。

染色体,通俗点说就是遗传物质。它确定了我们是什么。人体每个有核细胞的细胞核内存在遗传物质。人类细胞有23对染色体,包括22对常染色体和一对性染色体。经特殊处理,可以利用显微镜看见它,称作染色体。人的正常核型,男性为46,XY;女性为46,XX。相同的两条染色体,一条来自父亲,一条来自母亲。

微信图片_20210907114247

我们上文提到的XX就是性染色体中的一类。性染色体是指性别遗传基因,男性染色体为XY,女性为XX。这就说明了为啥上述案例男性患者染色体核型显示XX,竟是女儿身。由此看来染色体核型分析检查在婚前检查、产前诊断中的地位不可或缺。那又有哪些常见染色体疾病呢?

通常情况下,这种染色体畸变胎儿在怀孕期间由于各种因素会自然流产,但依然有一部分存活下来。(如图一)

 

图片 2

表一:染色体数目异常发生率

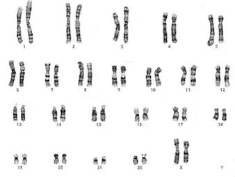
染色体疾病包括染色体结构的异常和数目的异常。常见的染色体数目异常有13-三体综合征、18三体综合征、21-三体综合征。染色体病在临床上常可造成流产、先天愚型、先天性多发性畸形、以及癌症等。患者常表现为特殊面容,外眼角上翘,舌头常往外伸出,绝大多数为严重智能障碍并伴有多种脏器异常,如先天性心脏病、白血病、消化道畸形等。(如图二)

微信图片_20210907114655

临床上染色体检查的目的就是为了发现染色体异常和诊断由染色体异常引起的疾病。现国药东风总医院医学检验部开展了外周血染色体核型分析和羊水染色体分析检查,为备孕、怀孕期妇女以及胎儿的健康保驾护航。