超声新技术—超声造影(CEUS肾脏)

一、肾脏超声造影的临床应用:

主要用于肾脏的局限性病变的定性诊断,比如先天性的肾结构异常与实性的肾肿瘤的鉴别诊断,肾实质内囊性与实性占位病变的鉴别诊断,肾集合系统内占位性病变的检出与鉴别诊断。此外,肾造影还用于肾外伤,肾血管性病变的评估,肾移植术后的评估以及随访,肾肿瘤介入治疗中的应用。

二、下面来看看我们做的一个病例吧:

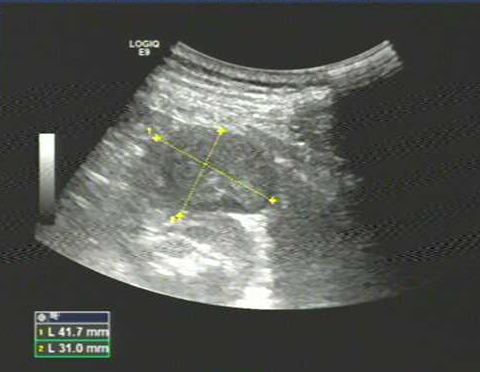
XXX,女,41Y,体检发现左肾上极占位:于左肾上极见范围约42×31mm低回声团,形态欠规则,边界尚清,内部回声欠均。

二维图像如下:

图片4.png

图片5.png

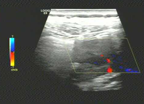
彩色多普勒示低回声团周边及内可见稍丰富血流信号。


1、那么这位患者左肾上极的占位到底是什么?

2、恶性or良性?

3、需要手术切除or继续观察?

三、且看下面咱们做的超声造影图像:

图片6.png

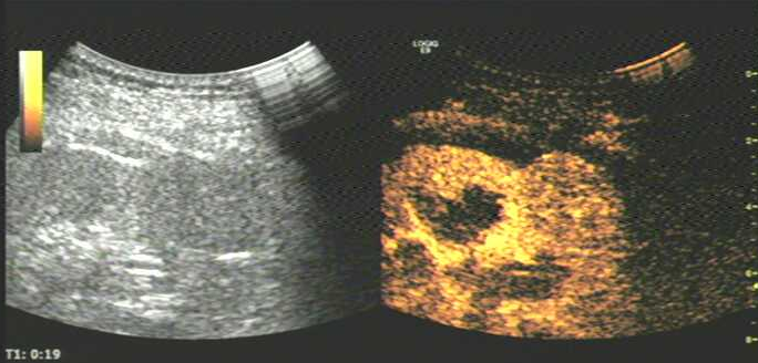
造影剂注射后19S;肾皮质第随后自髓质外部逐渐向内部增强;

可见上述肾脏占位稍晚于肾实质增强,病灶呈整体均匀增强;

图片7.png

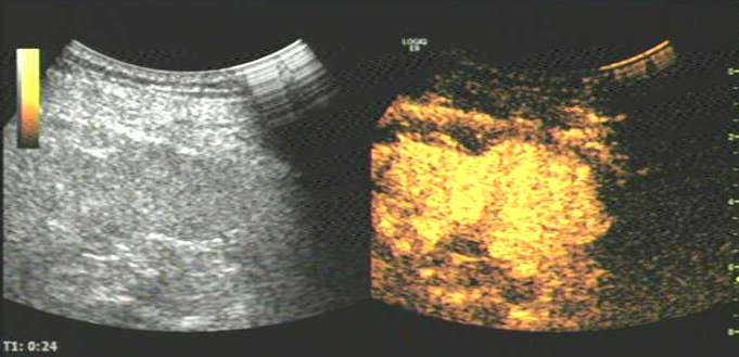
造影剂注射后24秒,肾内病灶内及肾实质增强达峰值,病灶呈整体均匀高增强;

四、造影消退过程:

1、第240s由肾髓质开始消退至第400s肾实质、肾内病灶内造影剂未见完全消退;

2、病灶消退稍慢于肾实质。

五、造影结果

  左肾低回声占位:造影增强考虑肾脏恶性病变不除外,建议手术病检。

六、患者手术后病检示:(左肾)嫌色性肾细胞癌,与超声科造影结果相符合。




下一篇: 床旁超声