心脏内的“小心眼“你了解多少?

1. 小“心眼”是什么?

卵圆孔是胚胎时期心脏房间隔的一个生理性通道,它能使血液从右心房流入左心房,维持胎儿的血液循环。通常,这个卵圆孔在出生后1年内就会自然闭合,如果大于3岁卵圆孔还没有闭合,就是我们说的“卵圆孔未闭”,心脏上因此留下一个小小的“心眼”。根据最新的统计,成年人中约20%~40%卵圆孔不完全闭合,留下一条小裂隙。

2.“心眼”怎么使坏?

受限于医学影像技术,以前人们对于卵圆孔未闭的认识相对较少,近年来,卵圆孔未闭和中青年隐源性卒中的关系不断被证实。最常见的是中青年不明原因偏头痛、脑卒中等常就诊于神经内科的疾病,严重者甚至可能致残或致死。

最新研究表明,卵圆孔未闭是隐源性卒中的一个重要病因。一般人群中,卵圆孔未闭发生率大约为20%~25%,而年轻和中年隐源性缺血性卒中的卵圆孔未闭比例可高达40%~50%。

3.“卵圆孔未闭”与栓塞的关系?

我们知道,静脉血栓的形成在成年人中很常见,深部和浅表静脉系统静息性血栓每年发生率为4%,每次长程飞机旅行发生率就达10%。当深静脉血栓形成的时候,它就像右心房栓子的“弹药库”,每小时都会产生大量的栓子,而这些栓子随血液迁移。

一般情况下,人的左心系统压力高于右心系统,卵圆孔未闭不会引起右向左分流,但在某些特殊情况下,例如:用力排便、憋尿、咳嗽、深呼吸等情况时,右心压力就会增高,左侧薄弱的原发隔被推开,即出现右向左分流,在这种情况下,患者的静脉血栓就可以从右心通过该缺损进入左心,造成大循环的动脉栓塞,引起反常栓塞。小的栓子会导致脑缺血,引起头痛症状。大的栓子则可直接引起缺血性脑卒中,都十分危险!

4.“心眼”怎么诊治?

诊断卵圆孔未闭的方法主要包括经胸壁超声心动图(即普通心脏彩超)、经胸壁超声心动图右心声学造影、经食道超声心动图及右心声学造影、经颅多普勒超声、发泡试验等。普通心脏彩超对卵圆孔未闭检出率较低,也难以准确测量其大小,有些不明原因卒中患者高度怀疑卵圆孔未闭的,可以经胸壁超声心动图右心声学造影增加检出率。而经食管超声心动图和右心声学造影可清楚观察房间隔解剖结构,是诊断卵圆孔未闭的金标准”和首选方法。

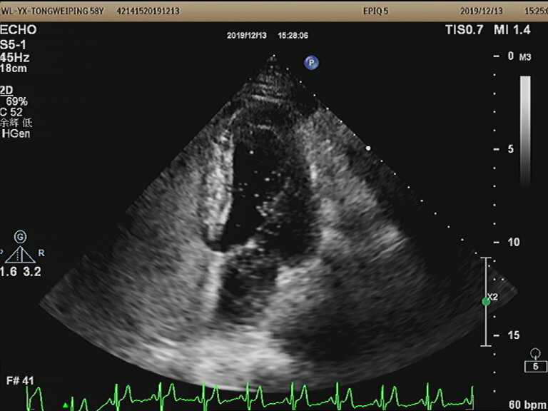
图片1.png

图一:未见明显经典卵圆孔未闭的“搭错样”声像图改变

仅见“细线样”房间隔回声

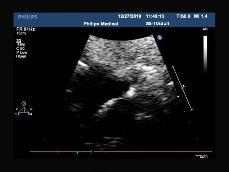
图片2.png

图二:仅见点滴状红色过隔血流信号

图一、图二高度怀疑卵圆孔未闭,结合临床表现(如不明原因头疼、青年人群的腔梗),建议经食管超声心动图和右心声学造影,下图为此患者诊断卵圆孔未闭提供了进一步的依据(右心声学造影见右向左大量微气泡)

图片3.png

图三:右心声学造影见右向左大量微气泡

从近年来关于卵圆孔未闭预防脑栓塞事件复发的相关研究看,针对“55 岁以下不明原因脑卒中的患者”筛查卵圆孔未闭的工作应该受到重视,这样可以有效筛查出更多不明原因脑卒中的病因,也有助于有效预防患者脑卒中复发。