你了解腰椎管狭窄症吗?

1、什么是腰椎管狭窄症?

腰椎管狭窄是指各种形式的椎管、神经管以及椎间孔的狭窄,及软组织引起的椎管容积改变及硬膜囊本身的狭窄等引起的一系列腰腿痛及一系列神经系统症状出现。

2、腰椎管狭窄症有什么症状?

(1)腰痛及腰腿痛:大多数患者都有腰痛的病史,进而发展为从臀部向下肢的放射痛,站立、行走或活动后症状加重,而坐立、腰椎前屈或蹲位时症状有缓解。

(2)间歇性跛行:病人步行50米至数百米后,下肢出现逐渐加重的沉重、腰酸、腿痛、下肢麻木、乏力,以致被迫改变姿势或停止行走,稍弯腰休息或蹲坐数分钟后症状缓解;再走一段距离后又出现相似症状,不得不重复休息后再走,行走距离越来越短,而休息时间越来越长。

(3)主诉与医生客观检查相矛盾:患者主诉较多,甚至可有典型的坐骨神经放射痛,由于临诊时短暂的休息,使椎管内压恢复至原来的状态,故检查体征时常为阴性。这种主诉与体征的不统一性,误认为“夸大主诉”。

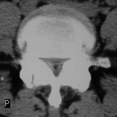
3、腰椎管狭窄症的表现

  (1)腰椎管狭窄症的X线表现


在标准退行性椎管狭窄患者的侧位X线片上,可显是脊椎生理曲度减少或变直、多节段椎间隙狭窄、不稳定、关节突增生等现象的存在。

(2)腰椎管狭窄症的CT表现

在CT扫描的不同的横断面上,可观察到椎间盘膨出或突出,脊髓内可有囊性改变。

  (3)腰椎管狭窄症的MRI表现

    

在MR扫描的不同层面可直接观察到椎管前后径变窄,脊髓在椎管内受到前后夹击,即前方有椎问盘和后纵韧带的压迫,后方有黄韧带和椎板的压迫,使脊髓呈串珠样改变,同时可见软组织水肿或脊髓水肿现象。

4、腰椎管狭窄症的诊断

根据病史、临床表现、X线片、CT检查及MRI等可明确诊断。

5、腰椎管狭窄症的治疗

保守治疗

(1)手法治疗:手法治疗的目的是改善血循环,松解粘连,使症状得到缓解。

(2)药物治疗:对神经根的无菌性炎症可采用镇痛消炎药物如扶他林、芬必得等。

(3)神经阻滞治疗:可用硬膜外神经阻滞,能消除肿胀,松解粘连,缓解症状。

(4)功能锻炼:可加强背伸肌、腹肌的肌力锻炼,使腰椎的稳定性增加,从而推迟腰椎关节退变演变的速度。

手术治疗手术的目的是解除神经组织和血管在椎管内、神经根管内或椎间孔内所受的压迫。出现下述情况时考虑手术治疗:

(1)保守治疗无效的持续性疼痛;

(2)间歇性跛行出现的步行距离或站立的持久力不断下降;

(3)主要神经功能障碍;

(4)神经受累范围不断增加;

(5)直肠和膀胱机能障碍。

6、腰椎管狭窄症手术安全么?

腰椎管狭窄症手术是国药东风总医院脊柱外科常规手术。脊柱外科一直秉承脊柱结核的规范化手术:采用传统常规治疗方式包括椎板开窗、半椎板切除、全椎板切除等,也可以采用微创技术治疗。常用的手术方式为椎板切除、神经根减压术,对于需要“减压+固定”病例可以采用传统常规治疗方式,也可以采用微创技术治疗。而融合技术可以选用横突间后外侧融合技术、椎板间后侧融合技术、椎间融合技术等。脊柱外科对腰椎管狭窄症的治疗,积累了丰富的临床经验,手术难度也逐年上升、复发率大幅度下降。

image.png