骨折之说


1.骨折定义

完整性丧失

C:\Users\ADMINI~1\AppData\Local\Temp\ksohtml5168\wps14.png连续性中断。

2.骨折成因

直接暴力

间接暴力

积累性劳损

病理性

3.骨折局部表现?

一般表现:疼痛、肿胀、功能障碍、青紫等

特有体征:畸形、异常活动、骨擦音或骨擦感 

C:\Users\ADMINI~1\AppData\Local\Temp\ksohtml5168\wps15.png 

4.骨折的X线表现

骨科中最常用,最基本,最重要的辅助检查手段

凡疑为骨折,常规进行X线片检查

即使明确为骨折,也要射X线片检查

值得注意的是:有些轻微的裂缝骨折,急诊拍片未见明显骨折线,如临床症状较明显者、应于伤后2周拍片复查。此时,骨折端的吸收常可出现骨折线,如腕舟状骨骨折。

 

5.骨折的治疗原则和方法

治疗骨折有三大原则:即复位、固定和功能锻炼

复位的方法

手法复位

切开复位

  C:\Users\ADMINI~1\AppData\Local\Temp\ksohtml5168\wps16.png

       右侧桡骨远端骨折手法复位

切开复位的指征

骨折端之间有肌或肌腱等软组织嵌入,手法复位失败者;

关节内骨折,手法复位后对位不良,将影响关节功能者;

手法复位未能达到功能复位的标准,将严重影响患肢功能者;

骨折并发主要血管、神经损伤,修复血管、神经的同时,宜行骨折切开复位;

多处骨折,为便于护理和治疗,防止并发症,可选择适当的部位行切开复位。

固定

外固定

石膏绷带

小夹板

外展架

持续牵引

外固定器

 

C:\Users\ADMINI~1\AppData\Local\Temp\ksohtml5168\wps17.png 

           支具外固定

C:\Users\ADMINI~1\AppData\Local\Temp\ksohtml5168\wps18.png 

           外固定器

 

内固定

接骨板、螺钉

   C:\Users\ADMINI~1\AppData\Local\Temp\ksohtml5168\wps19.png

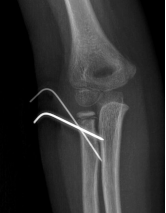
髓内钉、克氏针      

C:\Users\ADMINI~1\AppData\Local\Temp\ksohtml5168\wps20.pngC:\Users\ADMINI~1\AppData\Local\Temp\ksohtml5168\wps21.png 

功能锻炼

早期:1-2周 患肢肌主动舒缩活动

中期:2周后  骨折上下关节活动

晚期:临床愈合后 增大关节活动范围和肌力

6.手术治疗安全么?

骨折手术是国药东风总医院骨科常规手术,我科室一直秉承骨折的规范化手术,并且率先在十堰地区引进“微创骨科”的概念,手术创伤小、出血少、安全系数大。