骨肿瘤

1、什么是骨肿瘤?

凡起源于骨组织或发生在骨骼的肿瘤,不论原发性,还是继发性或转移瘤,均通称为骨肿瘤。

2、骨肿瘤的分类?

1)原发良性骨肿瘤

2)原发恶性骨肿瘤

3)转移性骨肿瘤

3、骨肿瘤的临床表现?

1)疼痛:

①良性肿瘤一般无痛或轻度

②疼痛是恶性肿瘤早期症状,进 持性加重

③休息时疼痛反而加重,考虑恶性病损

④夜间疼痛是骨肿瘤的重要特征

2)肿胀:根据肿瘤的性质、部位不同, 骨肿瘤的肿胀程度不同

3)损伤 (病理性骨折):损伤可诱发骨肿瘤症状的出现或加重骨肿瘤症状

4)功能障碍+压迫症状

①关节临近肿瘤可使关节活动障碍

②浅静脉怒张,皮温增高

③脊髓肿瘤压迫可致截瘫

④骨盆肿瘤可致消化道及泌尿道梗阻

slide0136_image011

4、骨肿瘤的诊断依据?

临床、X线片、病理三相结合

1)生化检查:血常规 血钙 血磷 碱性磷酸酶酸性能磷酸酶总蛋白浓度

2)影像学检查:X线(反映基本病变) CT 和MRI  (性质)ECT(范围)DSA(治疗效果)  

slide0052_image018

3)活组织检查(金标准)

穿针活检,切开活检(切取式、切除式)

BONE050

5、骨肿瘤的治疗?

1)良性骨肿瘤的外科治疗

①刮出植骨术:适用于良性骨肿瘤及瘤样病变

②外生性骨肿瘤的切除

2)恶性骨肿瘤的外科治疗

①保肢治疗:不断成熟的化疗促进和发展了保肢治疗

②截肢术:对于就诊较晚,破坏广泛和对其他辅助治疗无效的恶性骨肿瘤

3)化学治疗:新辅助化疗概念的形成及其法则的应用大大提高了恶性骨肿瘤病人的生存率和保肢率

4)放射治疗:可强有力地影响恶性肿瘤细胞的繁殖能力

5)其他治疗

6、常见良性骨肿瘤?

1)骨样骨瘤

①是一个孤立性、小圆形或圆形的痛性病变;

②好发年龄15~25岁

③以下肢长管骨为主

④病理特征是一个圆形或卵圆形的瘤巢,被反应骨包围

⑤主要症状为疼痛,影响睡眠,进行性加重,可服阿司匹林止痛

⑥属良性肿瘤(G0T0MO ),一旦确诊,应手术治疗,术后疼痛很快消失

L:\DCIM\100MSDCF\DSC00101.JPG

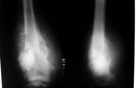
2)骨软骨瘤

①病理:软骨源性良性肿瘤,长骨干骺端的骨组织,软骨帽及滑囊,骨骺线闭合后,生长停止

②临床表现

   a、多发生于青少年(10~20岁),多发性骨软骨瘤(骨软骨瘤病)有家族遗传史,有恶变倾向

   b、干骺端无痛性骨性包块,或有压迫卡压症状。

   c、X线:骨性突起,与正常骨相连。

③治疗:手术完整切除

pre-opg0534_1

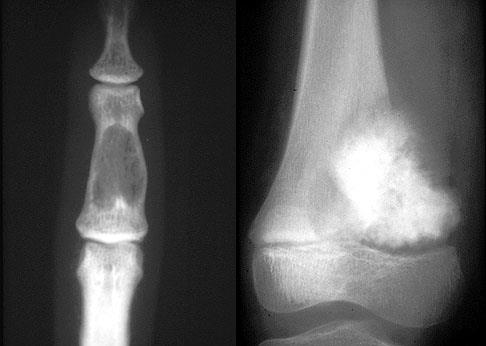
3)软骨瘤

①好发部位:40%--65%发生手部,特别是近节指骨最为多见

②好发年龄:30--40岁为好发年龄

③临床表现:患者多为无痛性肿胀,常并有病理性骨折,发生在躯干部的软骨瘤有恶变倾向

④治疗:手术治疗为主,采用刮除或病端切除植骨术,预后好

slide0065_image053

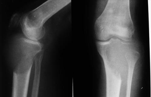
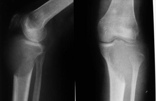
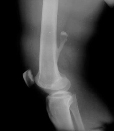
4)骨巨细胞瘤

①20-40岁成人(3/4),10岁以下儿童罕见

②股骨下端最多见,其次为胫骨上端及桡骨下端,三处占全部骨巨细胞瘤的60-70%

 ③病灶位于骨端,邻关节面(不累及骼后的骨细胞瘤诊断基本不成立)

④病灶延伸至骨突内

⑤手术治疗

slide0068_image064

7、原发恶性骨肿瘤?

包括:骨肉瘤、软骨肉瘤、骨纤维肉瘤、尤因肉瘤、恶性淋巴瘤、骨髓瘤、脊髓瘤

1)骨肉瘤

①骨肉瘤起发于原始间充质细胞的成骨细胞类,故名成骨肉瘤,恶性程度非常高。其特征为从肿瘤细胞直接形成骨和类骨

②多见于10—20岁,在成人也可因放射治疗,Paget氏病,甚至个别经久不愈的慢性骨髓炎引起骨肉瘤。

③临床症状:最早为疼痛,活动后疼痛加重,以夜间痛为重,患部包块并进行性增大,表面皮肤发热,静脉怒张

④X线表现:有溶骨性破坏和成骨性破Codman三角和日光放射征

⑤实验室检查:血沉、碱性磷酸酶、微量元素分析

⑥治疗:手术为主,辅助术前术后放疗化疗、免疫疗法

⑦骨肉瘤治疗的发展史

过去 手术切除5年生存率 5%—23%

 现在 手术加辅助治疗5年生存率 60%---80%

  骨肉瘤最常用的化疗药:

甲氨蝶呤、阿霉素、顺铂

slide0115_image079

2)尤因肉瘤

①年龄:儿童

②好发部位:股骨、胫骨、尺骨

③进行性疼痛,夜间重,伴发烧

④局部肿块,有压痛

⑤化验:白细胞多,血沉快.X线葱皮反应

⑥对放疗极为敏感、预后差;截肢或保肢手术效果也不理想;化疗也很有效,能延缓转移。现采用放疗加化疗和手术的综合治疗

C:\Program Files\PowerShot\ZoomBrowser EX\Image Library One\专业\图\cc.jpg

8、骨转移瘤

其他部位肿瘤转移至骨组织

 

 

 


上一篇: 脊髓损伤

下一篇: 腰椎间盘突出症