主动脉夹层

1、什么是主动脉夹层?

人体主动脉是由内膜、中层弹力层和外膜构成,正常情况下这三层是紧密贴合在一起的。主动脉夹层是指主动脉中层在各种原因作用下发生撕裂,形成假腔,血液在假腔中流动,并挤压真腔。

图片 1.png

2、主动脉夹层危险么?

危险!是医学界公认的起病急骤、病情凶险的大血管疾病,如没有得到及时的治疗,死亡率高达九成,是隐藏在体内的“一颗不定时炸弹”! 

3、主动脉夹层的表现?

主要的症状为疼痛,几乎所有意识清楚的病人都会有疼痛,疼痛发生突然且剧烈,常被描述为撕裂或剥开样,常位于胸前区、肩胛间区、腰背痛、腹痛;有时夹层撕裂的症状与急性闭塞的动脉相关如脑卒中,心肌梗死或小肠梗死,到脊髓的血供受影响引起下肢轻瘫或截瘫,肢体缺血。

 

 

图片 2.png 

4、主动脉夹层怎么诊断?

突发剧烈胸背痛,特别是伴有血压明显增高者,都需高度警惕主动脉夹层可能。主动脉增强CT是确诊主动脉夹层撕裂的极好方法,且可以迅速完成。

 

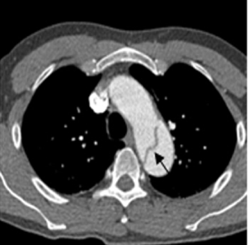
图片 3.png

 

                  主动脉CTA

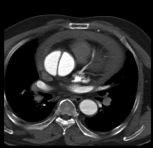
图片 4.png

    

            主动脉CTA明确诊断

   5、主动脉夹层怎么治疗?

一旦确诊,需采取控制血压、止痛、监护等治疗。主动脉夹层目前常用的分型为DeBakey分型:型:主动脉夹层累及范围自升主动脉到降主动脉甚至到腹主动脉。型:主动脉夹层累及范围仅限于升主动脉。型:主动脉夹层累及降主动脉。型、型主要采取外科手术治疗,型(Stanford B型)主要采取介入微创治疗方法。

图片 5.png

        外科手术治疗I行主动脉夹层

 

图片 6.png

      微创支架植入治疗III型主动脉夹层

 

 

6、主动脉夹层手术成熟么?

国药东风总医院早在2008年起便独立开展型主动脉夹层、腹主动脉瘤的微创介入支架植入术,现年均介入治疗20例以上,积累了丰富的临床经验,手术难度也逐年上升。2012年又开始在地市级医院率先独立开展型、型主动脉夹层的外科治疗。  

上一篇: 肺 癌

下一篇: 先天性心脏病