磁共振水成像(胰胆管水成像MRCP,内耳迷路水成像,泌尿系水成像(MRU))
磁共振胆道造影(MRCP)是利用重T2加权脉冲序列来显示具有非常长T2弛豫时间组织结构的技术,可清晰显示胆管系统的结构形态,对于胆管内结石及肿瘤压迫、侵犯胆管显示一目了然。
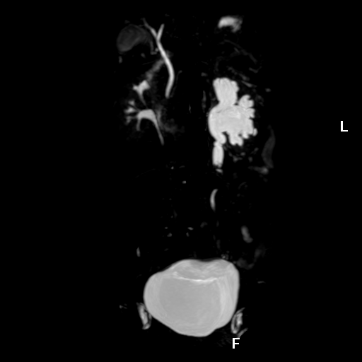
磁共振泌尿系水成像技术(MRU)是一种无创性尿路检查方法,利用尿液中的水作天然对比剂达到“造影的目的,通过重T2加权成像技术,可突出显示尿路中的水的信号,抑制周围组织信号,然后将得到的原始图像进行后处理技术得到MRU图像,其对尿路梗阻以上尿路积水显示很清晰,亦可显示梗阻部位所在及其形态与大小;对输尿管狭窄或结石的显示,可根据梗阻部位的形态加以判断。
上一篇: 国药影像:百万服务,千万希望,以科技之光照亮健康之路
下一篇: 头颅CT灌注成像